Двое мужчин заразились паразитическими червями после пересадки почек от одного донора в американских больницах. Об этом сообщается в отчёте, опубликованном 18 июня в New England Journal of Medicine.
История заражения
Оба пациента получили почки от одного и того же донора, который ранее проживал в Карибском регионе.
Первый случай
61-летний мужчина перенёс трансплантацию в Массачусетской больнице общего профиля (MassGen). Через 10 недель после операции у него появились тошнота, рвота, сильная жажда, боли в животе и спине, а также лихорадка. В другой больнице, куда его первоначально госпитализировали, обнаружили скопление жидкости в лёгких, из-за чего у пациента развилась дыхательная недостаточность и шок.
При поступлении в MassGen врачи заметили фиолетовую сыпь на животе, напоминающую синяки. Поскольку пациент принимал иммунодепрессанты (чтобы организм не отторгал пересаженную почку), его иммунитет был ослаблен, что повышало риск инфекций.

Диагностика и лечение
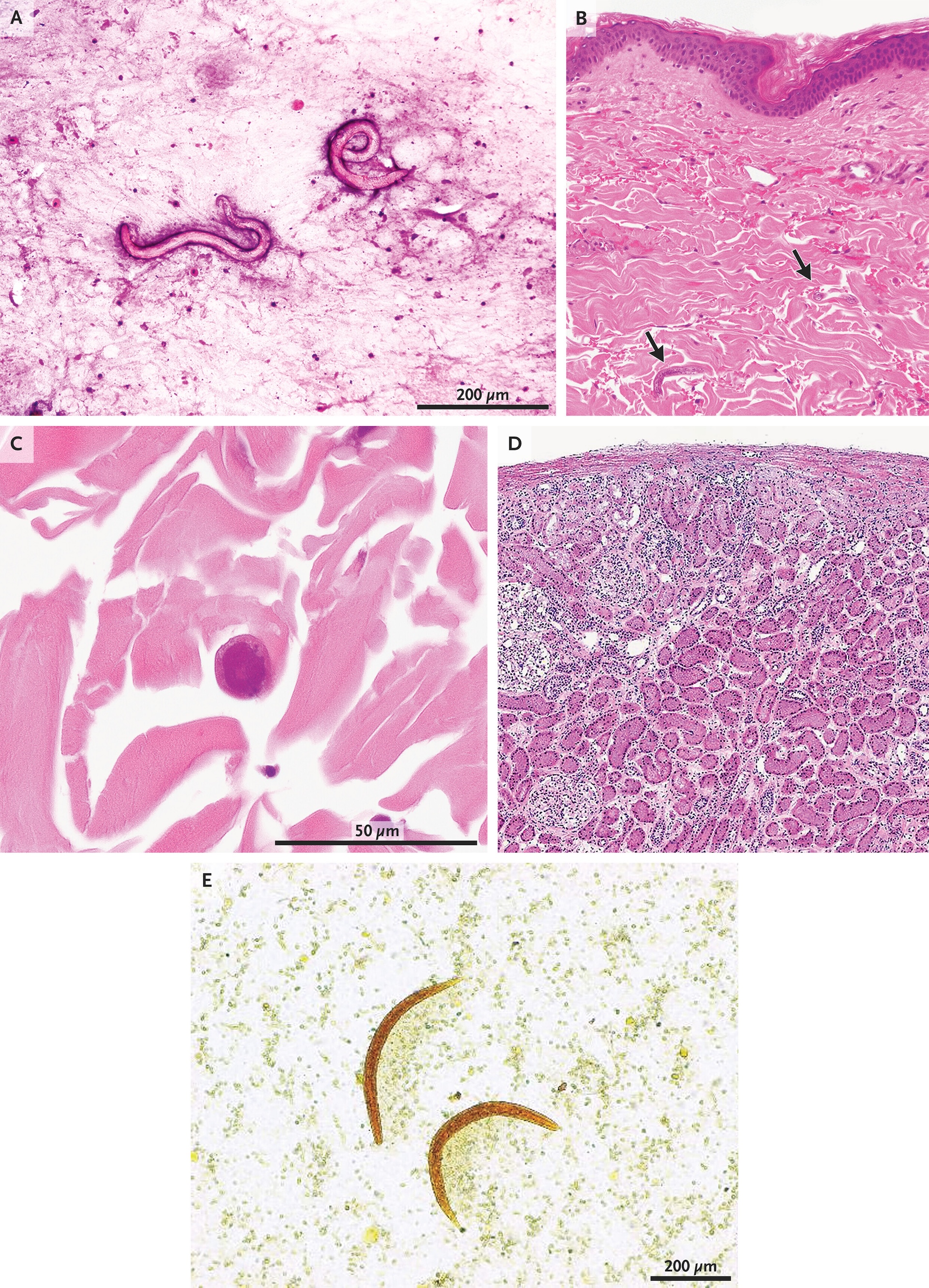
Исключив бактериальные и вирусные инфекции, врачи заподозрили паразитарное заражение. Подозрение подтвердилось: в крови пациента обнаружили высокий уровень эозинофилов — лейкоцитов, которые борются с паразитами.
Доктор Камиль Коттон, специалист по инфекционным заболеваниям, вспомнила о случаях заражения Strongyloides stercoralis (угрица кишечная) через донорские органы. Анализ крови донора показал антитела к этому паразиту, а у реципиента их не было до пересадки.
Дальнейшие исследования выявили, что черви распространились по животу, лёгким и коже пациента. Его успешно вылечили ивермектином, введённым под кожу.
Второй пациент
После уведомления других медицинских центров выяснилось, что второй реципиент (66-летний мужчина) также получил почку от того же донора. Он лечился в Олбанском медицинском центре от усталости, низкого уровня лейкоцитов и ухудшения функции почек. Благодаря оперативному обмену информацией его тоже удалось вылечить.

Риски трансплантации и меры предосторожности
Хотя заражения через донорские органы редки (в США за 10 лет зафиксировано 14 случаев на 10 000 пересадок), паразитарные инфекции составляют 42% всех подобных осложнений.
До 2023 года менее 25% организаций по трансплантации проверяли доноров на Strongyloides. Однако после этого случая Сеть по закупке и трансплантации органов (OPTN) рекомендовала всеобщий скрининг на этого паразита.
Этот случай подчёркивает важность:
✔ Тщательной проверки доноров из эндемичных регионов.
✔ Оперативного обмена информацией между больницами.
✔ Расширения списка тестов перед трансплантацией.
«Трансплантация органов спасает жизни, но требует максимальной бдительности», — отметили в Олбанском медицинском центре.